你應該要知道的食事
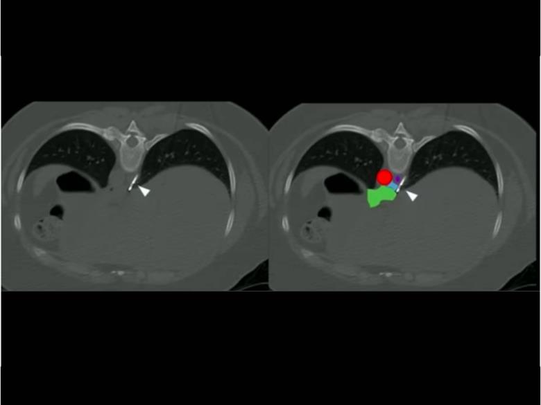
迷走神經後干(Posterior vagal trunk)位於消化道底部,平時負責將空胃的訊號傳回大腦。美國埃默里大學(Emory University)醫學院放射科醫生David Prologo認為,凍結迷走神經可能可以達到降低飢餓感的效果。
撰文=張越評
美國一項初步臨床研究顯示,將大腦發送飢餓信號的迷走神經冷凍住,從而降低飢餓信號傳遞的強度,可能有助於肥胖症患者減肥。
美國埃默里大學(Emory University)醫學院放射科醫生戴維·普羅洛戈(David Prologo)的團隊,2018年3月21日在美國放射醫療年會上發表了研究論文,初步研究表明這種減肥療法將有可能可行。
迷走神經是什麼?它與飢餓感有關
人體許多無意識的生理作用,是由自律神經所支配,比如人的心率、消化、飢餓感,而「迷走神經後干(Posterior vagal trunk)」位於消化道底部,平時會負責將空胃的訊號傳回大腦。因此,David Prologo博士研究小組認為,凍結迷走神經也許能夠減少飢餓感。
為了做到這一點,他們使用了電腦斷層機器,在每個病人的背部刺入針管,引導輸送氬氣、冷凍住迷走神經後干。利用10名身體質量指數(BMI)落在30~37的受試者接受這為期90天的實驗。治療結束時,所有人都表示食慾有所下降,平均體重也降低了3.6%、身體質量指數平均下降近14%,並且過程中未發現併發症,迄今也沒有出現不良反應。
這是否意味放射醫學家找到了新的減肥法?
David Prologo介紹說,「胃空了後,人體會啟動覓食求生模式。我們並不試圖消除這種生物反應,只是降低了覓食信號傳遞到大腦的強度,為輕度肥胖且有減肥困難的人,提供一種可持續發展的減肥新方案。」
但在探討結論之前,首先「凍結」其實為這項研究帶來許多技術上的限制,另外這份研究僅是在年會會議上提交研究結果,相較於經過同行評審審核通過並發布在備受尊崇的科學雜誌中,這兩者在學界討論上的嚴謹程度存在很大差異。
其次,這項研究樣本數太少,而且實驗結果可能參雜「安慰劑效應」的影響,換句話說,也許病人的食慾不振,其實起因於他們心理上已經預備這就是會讓他們食慾下降的實驗。
最後,實驗減輕的體重僅僅是90天內的數值,這些影響可能會持續多久?如果需要重複療程,是否會產生哪些負面後果或副作用?而且迷走神經除了處理飢餓感之外,目前尚不清楚還有哪些功能可能會因為凍結而受到干擾。研究小組又如何監測這些其他功能?潛在副作用可能需要超過90天才能顯現,因此,迷走神經仍然有許多奧秘。
儘管如此,對於因生活方式改變而無法減輕體重的患者來說,此手術可能有一定的前景。但在討論這些新減肥救星之前,還需要更多的測試和研究。研究團隊也承認,目前研究的樣本量不足,目前他們正努力招募更多的臨床受試者,以觀察更多長期效果。
審稿編輯:林玉婷
延伸閱讀
▶生理學告訴你 肚子餓會生氣是正常的~
▶別人吃太大聲會森77?這可能是你的大腦有問題~
▶飲食心理學:餐廳用餐的一切,推算出你是怎麼樣的人























































































 
                                                
                                             
                                                 
                                                





 
                             
                             
                            