你應該要知道的食事
農業部水產試驗所運用分子生物鑑定技術,開發出能快速判別烏魚三大系群的檢測試紙,有助養殖業者選擇最適合在台灣養殖的族群。因不同系群的雌魚在生殖表現與烏魚子產值上差異巨大,精準選苗成為產業永續關鍵。
整理=編輯部
農業部水產試驗(簡稱水試所)所運用分子生物鑑定技術,成功開發出烏魚系群快速檢測試紙,可協助業者迅速判別魚苗來源,篩選適合當地養殖的系群。此成果有助強化台灣烏魚養殖產業的基盤韌性,降低氣候變遷對漁業生產的衝擊,並推動產業穩定發展。

烏魚系群鑑定試紙測試。(圖片來源:農業部提供)
水試所表示,烏魚因其珍貴的烏魚子素有「烏金」美譽,是台灣沿近海漁業與養殖業的重要經濟魚種,台灣鄰近西北太平洋海域的烏魚可分為溫帶型、黑潮型與熱帶型三大系群,分布於不同水溫帶。由於目前養殖用烏魚苗主要仰賴野生撈捕,如何精準鑑別魚苗系群、選擇適合台灣環境的族群,成為確保養殖產業在氣候變遷下維持永續發展的關鍵。

台灣鄰近西北太平洋海域的烏魚可分為溫帶型、黑潮型與熱帶型三大系群,分布於不同水溫帶。(圖片來源:農業部提供)
水試所研究團隊指出,過去研究已顯示不同系群雌魚的生殖特性差異明顯,直接影響烏魚子的產值潛力。溫帶型雌魚經三年養殖後,性腺指數偏低、卵巢未見發育;黑潮型雌魚則具有較高性腺指數與發育中卵巢,具生產烏魚子的經濟價值。表現最佳者為熱帶型雌魚,其體重與卵巢重量均顯著高於黑潮型雌魚,顯示具生產體型更大、品質更優烏魚子的潛力。
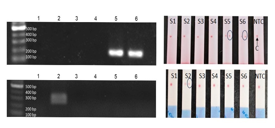
水試所進一步指出,本次開發的烏魚系群鑑定快速檢測試紙,能在短時間內判定烏魚苗與親魚的系群來源,為人工繁殖與種苗選育提供科學依據。未來將持續優化檢測技術,協助養殖業者建立更具氣候韌性與永續競爭力的烏魚產業。
審稿編輯:林玉婷
延伸閱讀
▶日本技術指導在鹿港設立台灣首間烏魚子工廠!「烏金產業」如何成就億元商機?
▶阿霞飯店的烏魚子竟是客製化3.5毫米顆粒鹽醃漬熟成!主廚吳健豪如何傳承經典台菜與創新?
▶【投書】屏東烏魚子躍上國際!二度回歸職場的黃佳琪如何用挫敗淬煉出「斜槓」餐飲人生?






















































































































